Männliche Hormone fördern überschießende Immunreaktion
Testosteron überaktiviert das angeborene Immunsystem
Hamburg – Sexualhormone beeinflussen eine bestimmte Gruppe von Immunzellen in unterschiedlichem Ausmaß. Das hat ein Forschungsteam des Bernhard-Nocht-Instituts für Tropenmedizin herausgefunden. Die Arbeitsgruppe unter der Leitung von Hanna Lotter und Julie Sellau zeigte erstmals, dass Monozyten, die wichtig sind für die Immunreaktion gegen eindringende Parasiten, direkt durch männliche Geschlechtshormone beeinflusst werden. Ihre Publikation wurde kürzlich in der Fachzeitschrift Nature Communications veröffentlicht. Die Arbeit entstand u.a. in Kooperation mit der Gruppe von Prof. Dr. Marcus Altfeld vom Heinrich-Pette-Institut, Leibniz-Institut für Experimentelle Virologie (HPI) mit Unterstützung der Landesforschungsförderung Hamburg.

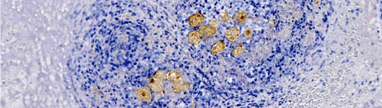
Immunhistologische Färbung von Amöben der Gattung Entamoeba histolytica (braun) im Zentrum eines Leberabszesses der Maus.
Frauen und Männer unterscheiden sich in der Häufigkeit bestimmter Erkrankungen. Bisherige Untersuchungen haben gezeigt, dass Männer anfälliger für Infektionskrankheiten sind. Frauen hingegen neigen stärker zu chronischen Entzündungen und Autoimmunerkrankungen. Offenbar wirken geschlechtsspezifische Einflüsse wie genetische Faktoren oder Geschlechtshormone auf das Immunsystem.
Insbesondere Infektionen mit dem einzelligen Parasiten Entamoeba (E.) histolytica führen bei Männern viel häufiger zu gefährlichen Krankheitsverläufen wie den Amöbenleberabszessen. Mit Hilfe eines Mausmodells konnte das Team um Hanna Lotter klären, welche Immunmechanismen dem zugrunde liegen. Demnach ist Testosteron die treibende Kraft für eine Überreaktion des angeborenen Immunsystems: Es bewirkt, dass Monozyten, die eigentlich gegen eindringende Krankheitserreger schützen sollen, bestimmte Entzündungsreaktionen in der Leber verstärken und damit maßgeblich zum Leberschaden beitragen.
Im Detail zeigte sich, dass Monozyten unter dem Einfluss von Testosteron verstärkt bestimmte Botenstoffe aussenden. Diese Botenstoffe führen zur Zerstörung des Lebergewebes und locken weitere Immunzellen an den Ort der Infektion. Dadurch wird die schädigende Wirkung weiter forciert – ein Teufelskreis.
Nicht nur bei Mäusen sondern auch bei Menschen stellten die Forschenden fest, dass Monozyten unter dem Einfluss von Testosteron solche Botenstoffe verstärkt produzieren. So fanden sie den Effekt auch bei Frauen, die sich im Zuge einer Geschlechtsumwandlung einer Testosterontherapie unterzogen.
Wissenschaftlerin Julie Sellau: „Ich freue mich sehr, dass wir mit dieser Arbeit im Detail aufklären konnten, welchen Einfluss männliche Sexualhormone auf bestimmte Immunzellen ausüben. Das hilft uns, geschlechtsspezifische Krankheiten besser zu verstehen und eröffnet neue Möglichkeiten für zielgerichtete, personalisierte Behandlungsansätze.“
Über das Bernhard-Nocht-Institut für Tropenmedizin
Das Bernhard-Nocht-Institut für Tropenmedizin (BNITM) ist Deutschlands größte Einrichtung für Forschung, Versorgung und Lehre auf dem Gebiet tropentypischer und neu auftretender Infektionskrankheiten. Aktuelle Forschungsschwerpunkte bilden Malaria, hämorrhagische Fieberviren, Immunologie, Epidemiologie und Klinik tropischer Infektionen sowie die Mechanismen der Übertragung von Viren durch Stechmücken. Für den Umgang mit hochpathogenen Viren und infizierten Insekten verfügt das Institut über Laboratorien der höchsten biologischen Sicherheitsstufe (BSL4) und ein Sicherheits-Insektarium (BSL3). Das BNITM umfasst das nationale Referenzzentrum für den Nachweis aller tropischen Infektionserreger und das WHO-Kooperationszentrum für Arboviren und hämorrhagische Fieberviren. Gemeinsam mit dem ghanaischen Gesundheitsministerium und der Universität von Kumasi betreibt es ein modernes Forschungs-und Ausbildungszentrum im westafrikanischen Regenwald, das auch externen Arbeitsgruppen zur Verfügung steht.
Sellau, J. et al. Androgens predispose males to monocyte-mediated immunopathology by inducing the expression of leukocyte recruitment factor CXCL1. Nature Communications 11, 3459 (2020). https://doi.org/10.1038/s41467-020-17260-y
In Verbindung stehende Artikel:
Verleihung des Werner-Otto Preises an BNITM Wissenschaftlerin Julie Sellau - 14.12.2021 17:30
Ansprechperson
Prof. Dr. Hanna Lotter
Research Group Leader
Telefon : +49 40 285380-475
E-Mail : lotter@bnitm.de
Dr. Eleonora Schönherr
Presse- & Öffentlichkeitsarbeit
Telefon : +49 40 285380-269
E-Mail : presse@bnitm.de
Julia Rauner
Presse- & Öffentlichkeitsarbeit
Telefon : +49 40 285380-264
E-Mail : presse@bnitm.de