Abgestorbene Zellen unterstützen Funktionalität und Vielfalt von Fresszellen des Immunsystems
Du bist, was du isst – dies gilt in erweiterter Form auch für bestimmte Fresszellen des angeborenen Immunsystems, die sogenannten phagozytierenden Makrophagen. Forschende des Universitätsklinikums Hamburg-Eppendorf (UKE) und am Bernhard-Nocht-Institut für Tropenmedizin (BNITM) haben in einer Studie herausgefunden, dass Funktion und genetische Ausprägung der Makrophagen durch die von ihnen aufgenommenen abgestorbenen Körperzellen unterstützt werden: Die Identität der aufgenommenen Zellen trägt hierbei zur funktionellen Vielfalt der Fresszellen bei. Ihre Ergebnisse haben die Forschenden im Fachjournal Science veröffentlicht.

Die Studie führten die Wissenschaftler:innen anhand eines Modells der parasitären Infektion Schistosomiasis durch, die Schäden in der Leber hervorruft und mit einem sogenannten programmierten Zelltod einhergeht.
„Unsere Ergebnisse zeigen, dass gezieltes Füttern von Makrophagen das Potenzial hat, Zelltherapien effektiver zu machen, besonders bei langanhaltenden Lebererkrankungen wie Leberzirrhose“, sagt Studienleiterin Dr. Lidia Bosurgi von der I. Medizinischen Klinik und Poliklinik des UKE und Projektleiterin der AG Protozoen-Immunologie des BNITM.
Die Studie wurde unter anderem von der Deutschen Forschungsgesellschaft (DFG) im Rahmen des Sonderforschungsbereichs 841 „Leberentzündungen: Infektion, Immunregulation und Konsequenzen“ gefördert.
Weitere Informationen zur Veröffentlichung in Science

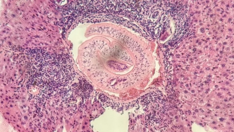
Die Identität absterbender Zellen, die von Fresszellen aufgenommen werden, beeinflusst die Funktion dieser phagozytierenden Makrophagen. Bei einer Infektion mit dem Parasiten Schistosoma mansoni setzen sich seine Eier in der Leber des infizierten Wirts fest. Es bilden sich Granulome um das Ei – dies sind Umbildungen in der Leber, die neben den Gewebezellen Immunzellen wie Makrophagen enthalten. Die Umgebung im Granulom ist mit dem anti-entzündlichen Molekül IL-4 (Interleukin-4) angereichert. Die Granulome reduzieren die durch das Ei im Wirt hervorgerufene Immunreaktion. Die Makrophagen und unterschiedliche absterbende Zellen wie apoptotische T-Zellen, apoptotische Leberzellen (Hepatozyten) sowie apoptotische Neutrophile (eine Art von Immunzellen) kommen im Granulom in unmittelbare Nähe zueinander vor.
Erstautorin Imke Liebold und ihre Kolleg:innen aus der Forschungsgruppe von Lidia Bosurgi führten die Laborarbeiten am BNITM durch. Sie entdeckten, dass Makrophagen bei der Aufnahme der sie umgebenden sterbenden Zellen unterschiedliche Profile annehmen, die von der zellulären Identität der aufgenommenen Zelle abhängen: Nehmen die Fresszellen absterbende Neutrophile auf, bilden sie ein gewebeumbauendes Profil aus, d.h., anschließend unterstützen sie hauptsächlich den Umbau des Gewebes. Eine wichtige Rolle spielen dabei die Rezeptoren AXL und MERTK der Makrophagen – die Forschenden konnten zeigen, dass die Makrophagen nicht das gewebeumbauende Profil annahmen, wenn die Rezeptoren experimentell ausgeschaltet waren. Nehmen die Makrophagen absterbende Leberzellen auf, nehmen sie anschließend immunsuppressive Aufgaben wahr. Nehmen die Makrophagen hingegen absterbende T-Zellen auf, bilden sie daraufhin kein spezielles Profil aus.

Weiterführende Informationen
Link zur Originalpublikation in Science: Liebold et al. Apoptotic cell identity induces distinct functional responses to IL-4 in efferocytic macrophages. Science. 2024. DOI: 10.1126/science.abo7027
Ansprechperson
Saskia Lemm
Pressesprecherin UKE
Telefon : 040 7410-56
E-Mail : presse@uke.de
Dr. Anna Hein
Presse- & Öffentlichkeitsarbeit
Telefon : +49 40 285380-269
E-Mail : presse@bnitm.de
Weiterführende Informationen