New paper on Plasmodium V-ATPase published in PNAS
Check out our newest paper, where we explore the functions of the Plasmodium V-ATPase complex in vacuolar physiology and antimalarial drug uptake. With a published commentary from Akhil Vaidya!
Significance
Malaria is caused by Plasmodium parasites, which replicate within human erythrocytes. During intraerythrocytic growth, the parasite takes up and digests host cell hemoglobin in an acidified vacuole. Several antimalarials interfere with biochemical pathways in this vacuole leading to parasite death. It was long believed that accumulation of these drugs is a mere function of the pH gradient between parasite cytosol and the vacuolar lumen. By targeting the multimeric proton pump powering this gradient, we identify distinct functions of this protein complex in physiology and maintenance of the digestive vacuole. Contrary to current belief, we find that severe dissipation of the proton gradient has only limited impact on antimalarial drug uptake and no effect on drug susceptibility.
Abstract
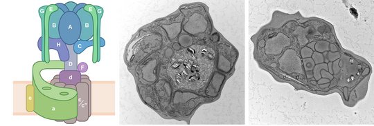
To ensure their survival in the human bloodstream, malaria parasites degrade up to 80% of the host erythrocyte hemoglobin in an acidified digestive vacuole. Here, we combine conditional reverse genetics and quantitative imaging approaches to demonstrate that the human malaria pathogen Plasmodium falciparum employs a heteromultimeric V-ATPase complex to acidify the digestive vacuole matrix, which is essential for intravacuolar hemoglobin release, heme detoxification, and parasite survival. We reveal an additional function of the membrane-embedded V-ATPase subunits in regulating morphogenesis of the digestive vacuole independent of proton translocation. We further show that intravacuolar accumulation of antimalarial chemotherapeutics is surprisingly resilient to severe deacidification of the vacuole and that modulation of V-ATPase activity does not affect parasite sensitivity toward these drugs.

